top of page

その歯、本当に抜歯が必要でしょうか?
当院なら抜歯せずに残せるかもしれません。
抜歯と言われたらご相談下さい
一本の歯に対して徹底的な精査を行い、抜歯が必要かどうかの判断をいたします。根管治療(根尖性歯周炎)はもちろん、歯周病や虫歯による歯質の不足(フェルール不足)など、様々なケースについて精査後に判断を下します。もちろん、当院で検査を受けたからと言って、必ず当院で治療を受けなければならないわけではありません。ご相談だけ、あるいはセカンドオピニオンを求める方も、どうぞお気軽にご相談ください。
根尖性歯周炎、歯周病、虫歯による歯質の崩壊、歯根破折など、幅広い対応をいたします。浦安での歯科治療をお考えの方は、どのような小さな疑問や心配ごとでも、私たち専門のチームまでご連絡いただければと思います。
○かかりつけ医などで、根の病気(根尖性歯周炎)のため抜歯が必要と言われた。
○当院へ治療相談(ご相談は無料です)
○各種検査(口腔内診査・レントゲン・CT検査など)
○詰め物・被せ物、コアを除去し、マイクロスコープ下にて精査(写真・動画にてご確認していただきます)
○抜歯が必要かどうかを診断
○ご希望があれば治療へ
症例① 2ヶ所のパーフォレーションを修復して抜歯を回避した症例
初診時年齢:27歳
性別:女性
主訴:根の病気を治したい
治療期間:3ヶ月
費用:22万円
治療のリスク:術後の腫れ、痛み
副作用:-
治療内容/装置:精密根管治療(大臼歯)、オールセラミッククラウン
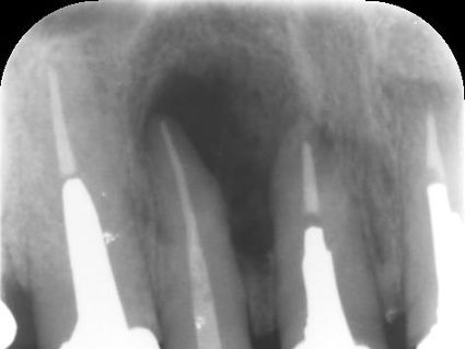
根分岐部側に広範囲なストリッピングパーフォレーションが確認できる。
根尖側にも湾曲根管を直進してできたパーフォレーションがある。

他院にて根管治療中の方で、根管治療が終わったのに痛みとサイナストラクト(旧フィステル)が
無くならないとのことで来院
手前側の1根管だけで2ヶ所のパーフォレーションがあり、MTAにて根管充填がされていた。
MTAを全て除去し、通法に従い根管治療後、MTAにて根管充填を行なった。
根管充填後、既にエックス線上にて病変の縮小を認めた。
リーマー・ファイル破折
リーマー・ファイル破折
従来、根管治療に用いる針のような器具(リーマー・ファイル)といえばステンレススチール製でした。
このステンレスファイルですが、折れる前兆のような状態が目視でわかります。そろそろ替え時かな、と判断することができました。
しかし、最近増えてきているNiTi(ニッケルチタン)ロータリーファイルというものがあります。
ニッケルチタンファイルは超弾性と形状記憶性を特徴としており、本来の根管形態を破壊せずに根管治療を行うことができます。
そしてロータリーシステム(器具が電動で運動するシステム)と組み合わせることにより、画期的に根管治療の効率を向上させました。
私もほぼ毎日使用しています。すべてをNiTiファイルに頼る訳ではありませんが、非常に有効な器具です。
しかし、ニッケルチタンファイルはステンレスと違って、折れる前兆がわかりにくいというデメリットもあります。
使用回数に制限を設けて使うことで、金属疲労を起こす前に取り替えることもできますが、確実性は低いです。
そういった背景もあって、破折ファイルを除去してほしい、という案件も昔に比べてかなり増えたように感じます。
破折ファイルの案件であっても、マイクロスコープと専用の器具を使用することにより、除去することが可能になりました。
症例② 外科的歯内療法(歯根端切除・逆根管充填)
根管治療が奏功しなかった場合や、被せ物を外さずに治療したい場合には、外科的な方法を用いて根管治療を行うこともあります。
こちらの術式も、当然ながら従来はすべて肉眼で行なっておりました。
肉眼で行なった場合の成功率は決して高くありませんでしたが、マイクロスコープを用いて行うことで飛躍的に成功率が向上し、現在さまざまな臨床研究において90%以上の成功率が示されています。
『一か八か外科手術やってみよう』という時代から『外科手術を見越した根管治療』を戦略的に行うことができるようになりました。
また、マイクロスコープだけでなく各種インスツルメンツの開発も進み、術式も簡便化しました。
そして根管の後ろ側からお薬を詰めるための『逆根管充填材』も、かつてはガッタパーチャ・酸化亜鉛ユージノール・グラスアイオノマーセメント・アマルガムなどなど様々な材料が使われてきました。
しかし、現在はほぼすべてMTAです。
『優れた封鎖性』『抗菌性』『溶解性の低さ』『低毒性』『治癒を妨げない』『骨芽細胞活性化作用』など優れた点が多くあるためです。
イヌ・サルの歯における研究においては、アマルガムと比較して優位に炎症が少ないことが報告されています(Torabinejad et al 1995a, 1997)。
このように様々な研究による裏付けから、当院においてはMTAを使用する優位性が高いと判断し、100%MTAを使用しています。
現在の外科的歯内療法は高い成功率を実現することができています。
当院においても、できる限り通常の根管治療のみで治癒するよう努めますが、必要に応じて外科的な方法も積極的に行なっております。
【 症例②-1 】
他院からの紹介で来院
根管治療後、根尖病変の治癒が認められなかったため歯根端切除術・逆根管充填を行なった症例
初診時年齢:49歳
性別:男性
主訴:根っこの病気を治したい
治療期間:1ヶ月
費用:10万円
治療のリスク:術後の腫れ、痛み
副作用:-
治療内容/装置:歯根端切除術・逆根管充填(MTA)
病変の大きさを、抜歯の基準に用いることはほとんどありません。病気が大きくても治ります。
【 症例②-2 】
外科的歯内療法で被せ物をそのままの状態で治療を行なった症例
初診時年齢:43歳
性別:女性
主訴:ハグキが腫れた、被せ物を外さないで欲しい
治療期間:1ヶ月
費用:10万円
治療のリスク:術後の腫れ、痛み
副作用:-
治療内容/装置:歯根端切除術・逆根管充填(MTA)
既に他院にて歯根端切除術を行なった歯ということで、2度目の歯根端切除術となりましたが、
無事に治癒へと向かいました。
他院にて根管治療中の方で、根管治療が終わったのに痛みとサイナストラクト(旧フィステル)が
無くならないとのことで来院
手前側の1根管だけで2ヶ所のパーフォレーションがあり、MTAにて根管充填がされていた。
MTAを全て除去し、通法に従い根管治療後、MTAにて根管充填を行なった。
根管充填後、既にエックス線上にて病変の縮小を認めた。
症例③ 意図的再植によって外部吸収をMTA修復した症例
初診時年齢:19歳
性別:女性
主訴:歯が痛い
治療期間:5ヶ月
費用:抜歯/歯牙移植(保険適用)、MTA修復/意図的再植術(6万円)
治療のリスク:術後の腫れ、痛み
副作用:経過不良時の骨吸収
治療内容/装置:歯牙移植/根管治療/意図的再植/MTAセメント
症例④ 矯正的挺出(ルートエクストルージョン)×クラウンレングス
によって抜歯を回避した症例
初診時年齢:36歳
性別:男性
主訴:被せ物が取れたので治したい
治療期間:6ヶ月
費用:30万円
治療のリスク:術後の腫れ、痛み
副作用:-
治療内容/装置:挺出用矯正装置(クラウンレングスニング)APF(アピカリーポジションドフラップ)、オールセラミッククラウン2本
ルートエクストルージョンは、歯科治療法の一つで、歯の根を周囲の骨組織からわずかに引き出す処置を指します。この技術は、特に歯冠が破損したり、歯肉線下で虫歯が進行したりした場合に、抜歯を避けるために用いられます。エクストルージョンにより、歯の根がさらに露出し、その上に新たな歯冠部を構築するための十分な基盤が確保されます。この方法は、特に歯周病の進行によって歯の支持が不十分になったケースにも適用され、歯を保存するための効果的な選択肢となり得ます。

まとめ
抜歯を避け、自らの歯を健康に保つことは、多くの人にとって重要な目標です。
この目標を達成するための解説をいたします。
早期発見・早期治療の重要性
抜歯を回避するための最も効果的な方法は、歯科問題を早期に発見し、早期に治療を始めることです。定期的な歯科検診は、虫歯や歯周病などの問題を早期に発見する絶好の機会を提供します。Hatch Dental Clinic浦安では、最新の技術を駆使して患者様の口腔健康をチェックし、早期に介入することで問題の拡大を防ぎます。このような定期検診を通じて、小さな問題が大きな問題へと発展するのを防ぐことが可能です。
日々の口腔衛生管理
毎日の正しい口腔衛生習慣は、抜歯を回避するために不可欠です。ブラッシングとフロッシングは、プラークと歯石の蓄積を防ぎ、虫歯や歯周病のリスクを減少させます。特に重要なのは、歯間ブラシやデンタルフロスを使用して、歯と歯茎の間や歯と歯の間の清潔を保つことです。Hatch Dental Clinic浦安では、患者様一人ひとりに合ったブラッシングやフロッシングの方法を指導しており、日々のケアを通じて口腔内を健康に保つことを目指しています。
食生活の見直し
食生活は、口腔健康に大きな影響を及ぼします。砂糖や酸性の飲食物の過剰な摂取は、虫歯や歯のエナメル質の損傷の主要な原因です。健康的な食生活を心がけ、特に砂糖の摂取を控えることで、歯を健康に保つことができます。
定期的な専門家によるケア
定期的な歯科クリーニングとプロフェッショナルケアは、抜歯を回避するために重要です。歯科医院での定期的なクリーニングは、自宅でのケアでは除去できない硬い歯石を取り除き、歯周病のリスクを減らします。Hatch Dental Clinic浦安では、個々の患者様のニーズに合わせたプロフェッショナルなケアを提供し、患者様の口腔健康をサポートしています。
抜歯の代替治療法
場合によっては、抜歯を避けるための代替治療法が存在します。根管治療は、深い虫歯や感染した歯髄(歯の神経)を治療する方法であり、抜歯の必要を回避することができます。また、進行した歯周病に対しても、適切な歯周病治療を行うことで歯を救うことが可能です。
まとめ
抜歯を回避し、自らの歯をできるだけ長く健康に保つためには、早期発見・治療、適切な口腔衛生習慣の維持、健康的な食生活の選択、定期的なプロフェッショナルケア、そして必要に応じた代替治療法の検討が不可欠です。浦安の地域社会においても、これらの原則は変わらず、Hatch Dental Clinicは患者様の口腔健康を支えるために尽力しています。これらの取り組みを通じて、患者様は健康な口腔環境を維持し、抜歯のリスクを最小限に抑えることができます。
bottom of page
![浦安市・浦安駅の歯医者 Hatch Dental Clinic [ハッチデンタルクリニック]](https://static.wixstatic.com/media/c26a2e_5a5cf7a584774053b7447e557c4e2ca6~mv2.png/v1/fill/w_166,h_71,al_c,q_85,usm_0.66_1.00_0.01,enc_avif,quality_auto/01-04.png)


















